¸®À¯ÇÑÀÇ¿ø

ÀüÈÄ»çÁø

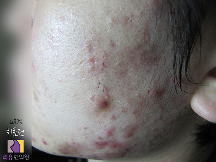
³ª¿Í ºñ½ÁÇÑ °í¹ÎÀ» ÇÏ´Â »ç¶÷µéÀº '¸®À¯'¿¡¼­ ¾î¶»°Ô ÁÁ¾ÆÁ³À»±î? ÀüÈÄ»çÁøÀ» ÅëÇØ È®ÀÎÇØº¸¼¼¿ä.
ÀÇ·á¹ý¿¡ Àǰе¿ÀÏÀÎ, µ¿ÀÏ Á¶°Ç, µ¿ÀÇ ÈÄ °Ô½ÃÇϸç ÀÚ¼¼ÇÑ ÁÖÂ÷ º° ÀüÈÄ»çÁøÀº ·Î±×ÀÎ ÈÄ º¸½Ç ¼ö ÀÖ½À´Ï´Ù.
ȯÀÚ°³Àο¡ µû¶ó Ä¡·á Áß ÀϽÃÀûÀÎ ºÓÀ½Áõ, °¡·Á¿ò, ¿°Áõ µîÀÇ ºÎÀÛ¿ëÀÌ ³ªÅ¸³¯ ¼ö ÀÖ½À´Ï´Ù.

Á¦¸ñ º¼ È­³ó¼º¿©µå¸§ Ä¡·áÀü ÈÄ »çÁøÀÔ´Ï´Ù.










Ä«Å×°í¸® º¼¿©µå¸§

½Ç½Ã°£ »ó´ã ½ÅûÇϱâ

    ¼ºÇÔ   
    ÁöÁ¡¼±ÅÃ
    ¼ºº°
    ÀüÈ­¹øÈ£ - -   
    »ó´ãºÐ¾ß
    »ó´ã°¡´É½Ã°£
    ¡¤ °³ÀÎÁ¤º¸ÀÇ ¼öÁý ¹× ÀÌ¿ë¸ñÀû °³ÀÎÁ¤º¸ÀÇ ¼öÁý ¹× ÀÌ¿ë¸ñÀû¿¡ µ¿ÀÇÇÕ´Ï´Ù.

¸®À¯ÇÑÀÇ¿ø

īī¿ÀÅå »ó´ã

īī¿ÀÅåÀ¸·Î »ó´ãÀ» µµ¿Íµå¸³´Ï´Ù.
´Ý±â

¿Â¶óÀλó´ã

¿©µå¸§°ú ¿©µå¸§ÈäÅÍ¿¡ ´ëÇØ Áö±Ý ¹Ù·Î »ó´ãÇϼ¼¿ä.
´Ý±â

¿Â¶óÀο¹¾à¾È³»

¿Â¶óÀÎÀ¸·Î ¹Ì¸® ¿¹¾àÇÏ°í ¹æ¹®ÇØÁÖ½Ã¸é º¸´Ù Æí¸®ÇÕ´Ï´Ù.
´Ý±â

³ªÀÇ Ä¡·á¼º°ø±â

¸®À¯ÇÑÀÇ¿ø °í°´´ÔµéÀÌ ³²°ÜÁֽмÒÁßÇÑ ÈıâÀÔ´Ï´Ù.
´Ý±â

ÁöÁ¡¾È³»

¸®À¯ÇÑÀÇ¿ø °í°´´ÔµéÀÌ ³²°ÜÁֽмÒÁßÇÑ ÈıâÀÔ´Ï´Ù.
´Ý±â